支气管炎医院排名_支气管炎医院证明(2)
作者: 来源: 时间:2021年08月19日
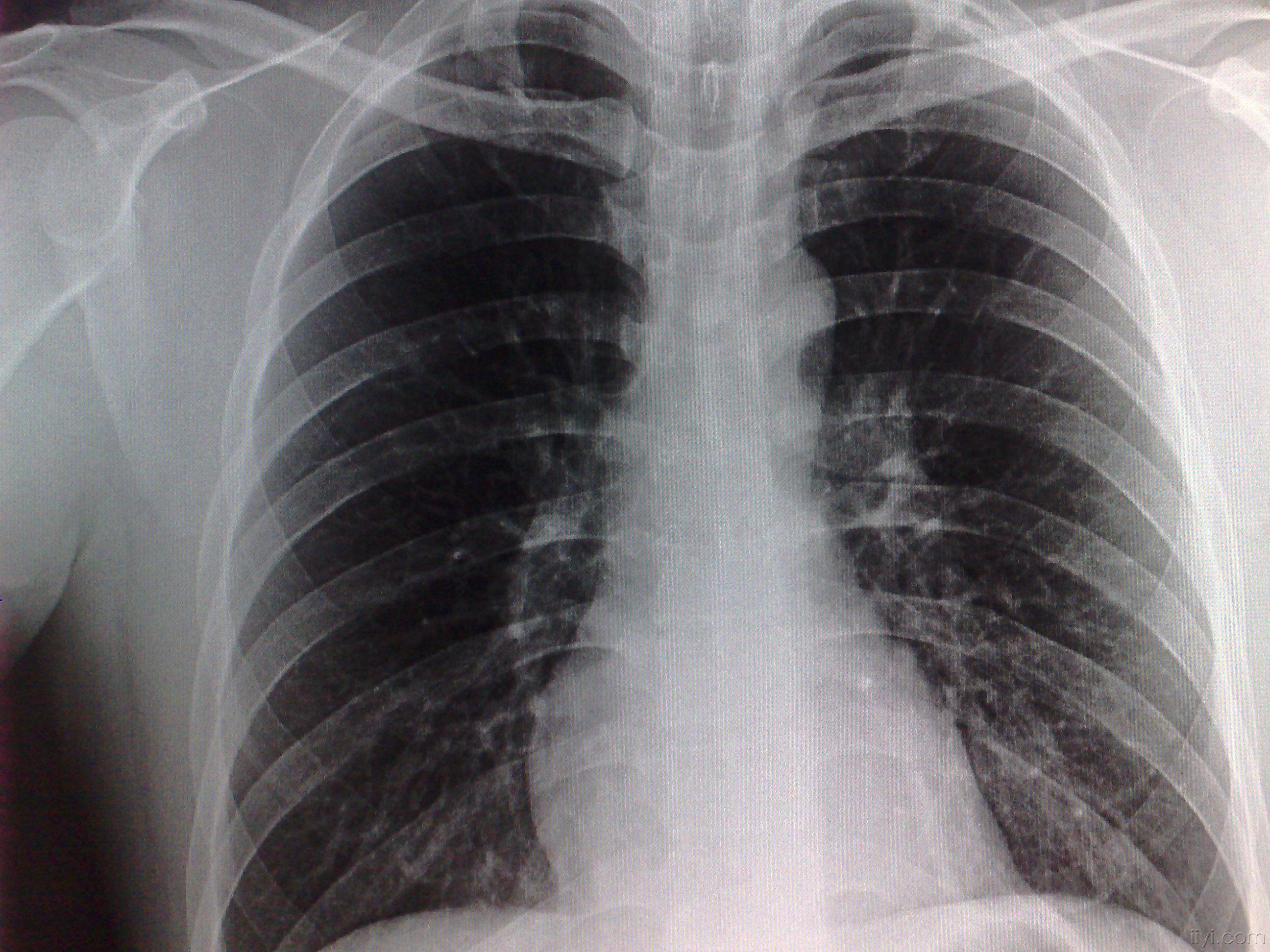
去医院拍了个片说肺部纹理增粗增大说是支气管炎 但感觉他没仔细看 麻烦有懂这个的帮看看有没有阴影之内的
去医院拍了个片说肺部纹理增粗增大说是支气管炎 但感觉他没仔细看 麻烦有懂这个的帮看看有没有阴影之内的
支气管炎咳嗽吐白痰
省卫生厅晒医院收费账 治急性支气管炎花1.5万
海外就医看病费用多少有没有大概的范畴 美颐健康
杭州城东医院ICU实况 慢性支气管炎虽常见,中晚期不注意可致命
这些病看起来像 感冒 ,当成感冒治可能被耽误了
胸膜间皮瘤的症状治疗挂什么科室,胸膜间皮瘤能活多久传染吗
医生提醒 冬季儿童病多发 家长应做好日常防护
大家看一下这胸片是什么问题
支气管炎患者在生活中需要注意什么
8月初感冒咳嗽发烧,8.10日到医院检查,做了CT,和验血,医生确诊为急性支气管炎,开了药,吃了后
黔东南州医院10倍价格乱收费, 找医生却被护士阻拦
疾病 第278页 济南齐鲁花园医院
延伸阅读:
| 手机cpu性能排行_手机cpu性能排行榜2023-08-04 |
| 佛祖的排名_佛教佛祖排名一览表2021-08-20 |
| 伦理片排名_2017年伦理片免费观看2021-07-24 |
| 火山主播排名_小火山主播揪痧视频2021-08-21 |
| 步兵女神排行_业界十位岛国知名步兵女神2023-09-06 |
| 环太平洋机甲排名_环太平洋机甲图片2021-08-21 |
| gv排名_日本gv男演员名字大全2021-07-23 |
| 乳量排名_神奇宝贝乳量排名图片2021-09-18 |
| 姓叶排名_姓叶的微信头像图片2021-09-19 |
| 斗鱼土豪排名_斗鱼主播祖祖土豪定制2021-09-20 |
新榜速递
最新专题













