膝关节置换医院排名_膝关节置换图片(3)
作者: 来源: 时间:2021年08月20日
榆次区人民医院骨一科运用全膝关节置换术为患者治顽疾
峄城区人民医院骨科自主成功开展2例膝关节置换手术
汕头大学医学院第一附属医院骨科胡军教授团队成功开展膝关节单髁置换术
郴州市第四人民医院独立完成首例僵直膝关节置换手术
莲池荣耀 热烈祝贺吕岩荣院长获全国单髁手术技术大赛三等奖
如东县人民医院独立开展膝关节单髁置换
多学科联合会诊优势再显,烟台海港医院成功为尿毒症患者实施全膝关节置换术
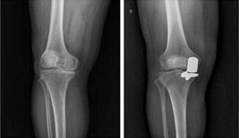
你的膝关节需要 补补牙 吗 青岛市市立医院成功开展膝关节外侧单髁置换术
新技术助诊断 东城医院成功开展DR步进式长骨拼接新技术
绵阳市第三人民医院成功开展膝关节单髁置换术
燕达医院 京东首例膝关节单髁置换手术
即墨市中医医院 骨伤科自主完成首例人工膝关节置换术
人工膝关节置换 圆七旬老人 膝望
延伸阅读:
| 手机cpu性能排行_手机cpu性能排行榜2023-08-04 |
| 佛祖的排名_佛教佛祖排名一览表2021-08-20 |
| 伦理片排名_2017年伦理片免费观看2021-07-24 |
| 火山主播排名_小火山主播揪痧视频2021-08-21 |
| 步兵女神排行_业界十位岛国知名步兵女神2023-09-06 |
| 环太平洋机甲排名_环太平洋机甲图片2021-08-21 |
| gv排名_日本gv男演员名字大全2021-07-23 |
| 乳量排名_神奇宝贝乳量排名图片2021-09-18 |
| 姓叶排名_姓叶的微信头像图片2021-09-19 |
| 斗鱼土豪排名_斗鱼主播祖祖土豪定制2021-09-20 |
新榜速递
最新专题












