2020全国骨科医院排名_十张图了解2020年中国骨科医院行业发展现状与经营
十张图了解2020年中国骨科医院行业发展现状与经营状况分析 民营企...
截至2019年末,我国骨科医院医疗人员数量为65456人,较2018年增长7.72%,增速有所下滑. 截至2019年末,我国骨科医院的总数达663家,其中近32%的...
2020《百强县市百强医院排行榜》发布
普外科、骨科、妇科、产科、皮肤性病、感染、中医、肿瘤. 综合榜 医信天下2020百强县市百强医院排行榜 综合榜(1~100) 医信天下《2020百强县市百强...
2020年合肥市骨科医院招聘周转池编制13人公告
合肥市口腔医院2020年公开招聘护理人员笔试总成绩及排名已经公布,现将进入面试资格复审人员名单及其他有关事项通知如下: 一、防控要求 参加资格复审...
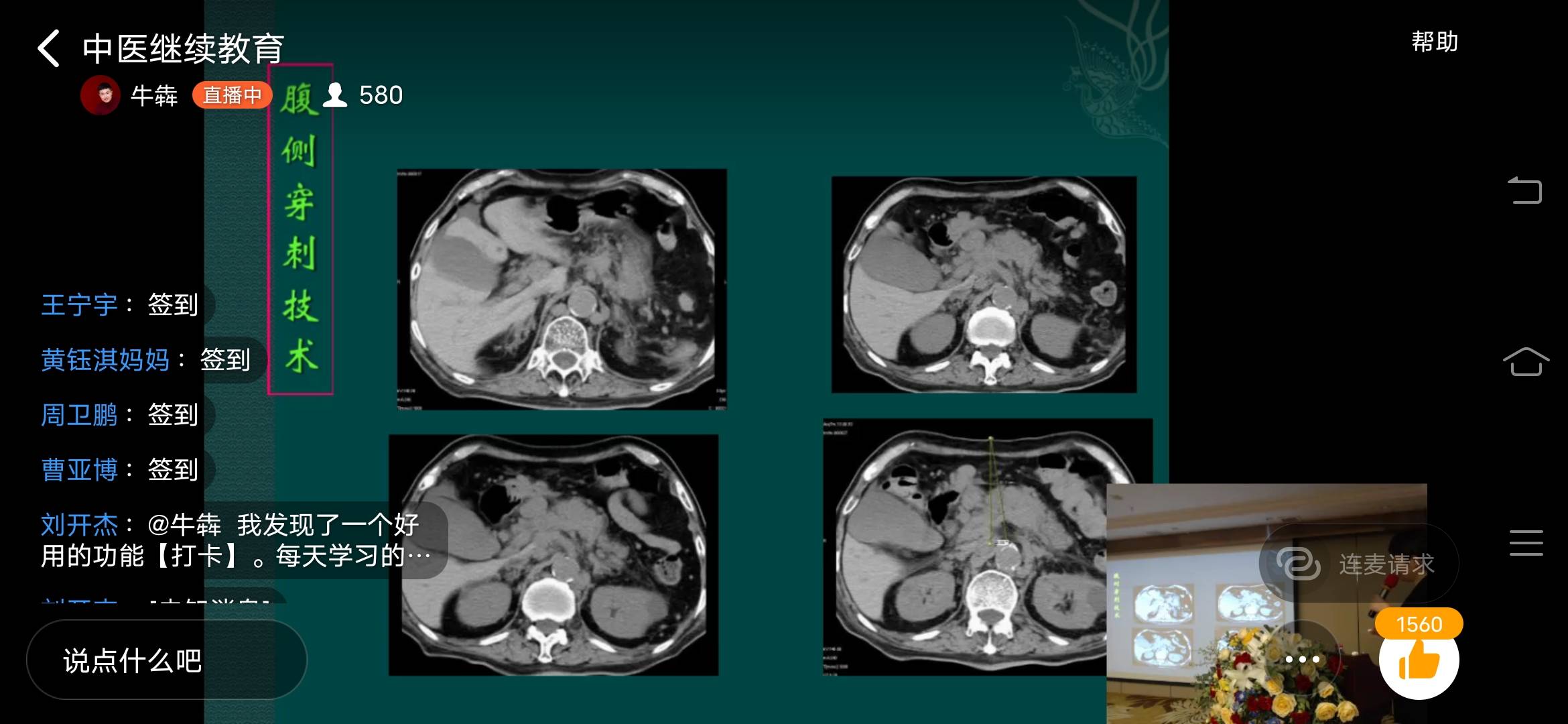
新闻速递|我院顺利举办2020年郑州市中医继续教育项目
2020年9月26日,由郑州济华骨科医院主办的2020年郑州市中医继续教育项目《影像引导下的微创介入治疗》,在郑州市维也纳酒店会议厅顺利召开. 会议邀...
2020年安徽省合肥市骨科医院招聘13人公告_职位表
更多关于合肥市骨科医院招聘,合肥市医院招聘,合肥市骨科医院的信息,请关注人事信息考试网/广东人事考试网. 合肥市骨科医院2020年度公开招聘工作人...
医院|沈阳积水潭医院2020年招聘公告(招60人以上)
沈阳积水潭医院医院位于沈阳经济技术开发区中央南大街18号,重点打造骨科(脊柱外科、矫形骨科、创伤骨科、手足外科、小儿骨科、骨肿瘤科、运动医学科...
2019-2020年度美国最佳骨病医院排名公布
骨科医院排名前三甲 2019-2020年度骨科医院Top10: 1.纽约长老会哥伦比亚与康奈尔医院(New York-PresbyterianHospital-Columbia and Cornell) 2. 梅奥诊...
世界骨科医院排名榜;世界最好的骨科医院;骨科最好医院排名;最好眼科医院排名榜;中国十大骨科医院;泌尿科最好的医院排名;神经科医院排名全国;骨科医院世界排名;全国最好的骨科医院排名榜;世界骨科医院排名 全国;全世界最好骨科医院;中国最好的医院在哪里;广东最好的妇科医院;全国骨科医院排名50;世界上最好的医院在哪里;中国十大骨科医院排名;
2020医学院校排名及分数线
根据2020年软科中国医药类大学排名,实力最强的5所医科大学分别为:北京协和医学院、首都医科大学、南京医科大学、中国药科大学和天津医科大学. 不过...
医学院排名及分数线;高考医学院要多少分;二本医学院分数线;医学院排名及分数线2019;医学院录取分数线2019;二本最低的医科大学;全国医学院排名及分数线;临床医学专业大学排名;医学院排名二本;医学院校排名及录取分数;医学院分数线;全国医学院录取分数线;医学院校大学排名;山西医科大学;医科大学全国排名;二本医学院排名及分数线;
| 泡面番排行榜_十部泡面番推荐:看完整部动漫2021-09-22 |
| 2020恩施州经济排名_2019年度湖北恩施州各区2020-12-10 |
| h文排行榜_三本顶级开荤爽文,男主强取豪夺2023-09-22 |
| 福州2020中考初中排名_从一三附升学率看202020-12-01 |
| 上海人气美食排行榜_闯荡上海10年,美食主持2021-08-05 |
| 黑人男优排行_顶级黑人男演员前10排行榜,威2021-09-27 |
| 十大氢弹排名2020_全球十大核武器排行:俄罗2020-11-06 |
| 2021姓氏排行榜_2021百家姓最新排名一览2021-12-26 |
| 金华中考成绩2020排名_2020金华中考成绩公布2020-12-18 |
| 8005稀有冠号排行_8005的这些冠号记得收藏2022-12-08 |



